
Czy zakładanie aparatu na zęby boli? Sprawdź, jakie są odczucia podczas zabiegu i jak radzić sobie z dyskomfortem po jego założeniu.

Czy zakładanie aparatu na zęby boli? Sprawdź, jakie są odczucia podczas zabiegu i jak radzić sobie z dyskomfortem po jego założeniu.

Jak wyleczyć zapalenie dziąseł i złagodzić ból? Sprawdź skuteczne metody, które pomogą Ci w utrzymaniu zdrowia jamy ustnej i uniknięciu komplikacji.

Ile kosztuje aparat na zęby dla 13-latki? Sprawdź ceny różnych typów aparatów ortodontycznych i dodatkowe wydatki związane z leczeniem.

Dowiedz się, jak długo trzeba nosić aparat na zęby oraz jakie czynniki wpływają na czas leczenia. Zyskaj zdrowy uśmiech szybciej!

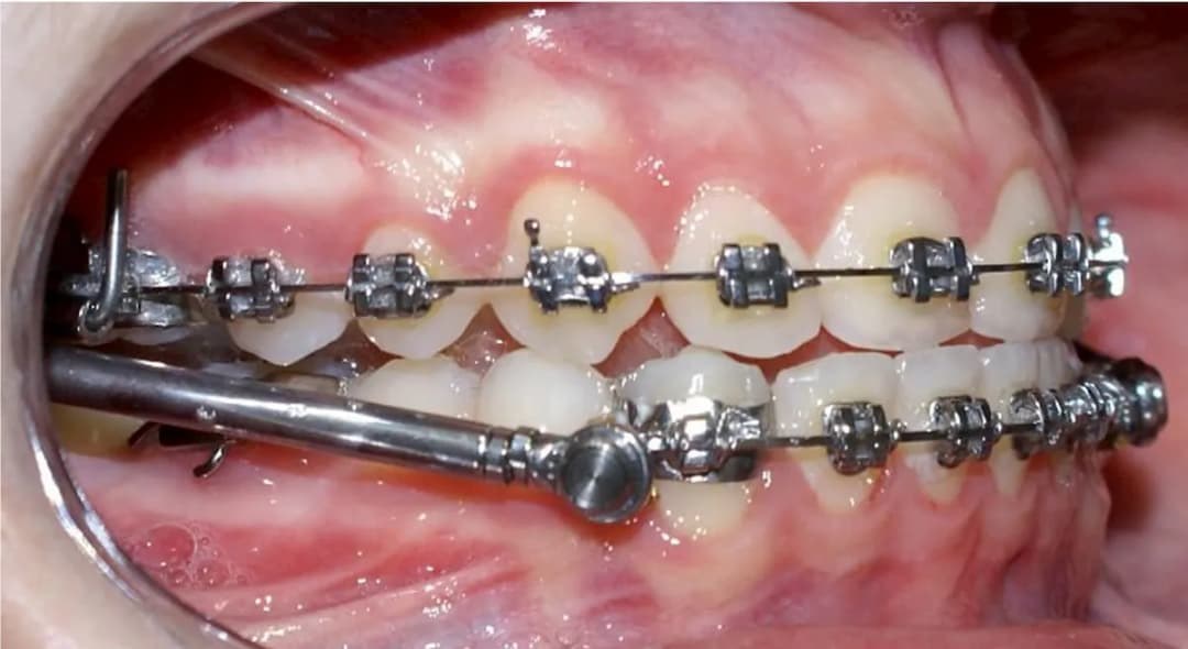
Poznaj różne typy aparatów ortodontycznych i dowiedz się, jak wygląda aparat na zęby. Sprawdź ich cechy, zalety i jak wpływają na uśmiech!

Skutecznie usuń ropę na dziąśle i uniknij poważnych problemów zdrowotnych. Sprawdź najlepsze metody i domowe sposoby na ropę w dziąśle.

Ile kosztuje aparat na dolne zęby? Sprawdź ceny, dodatkowe wydatki oraz opcje finansowania, aby uniknąć nieprzyjemnych niespodzianek finansowych.

Skuteczne sposoby na ból zębów przez aparat ortodontyczny. Sprawdź, jak złagodzić dyskomfort i ciesz się zdrowym uśmiechem!

Ile kosztuje przezroczysty aparat na zęby? Sprawdź aktualne ceny, czynniki wpływające na koszty oraz dodatkowe wydatki związane z leczeniem ortodontycznym.

Sprawdź, ile kosztuje nakładka na zęby po aparacie. Poznaj ceny, rodzaje i czynniki wpływające na koszty, aby podjąć najlepszą decyzję.